此操作将在您下回登录时自动记录您的这次国家选择。如需重新切换,可通过切换国家完成。
淘宝大秀场查看全部(有图片可优先显示在此处)
    查看: 2275|回复: 23

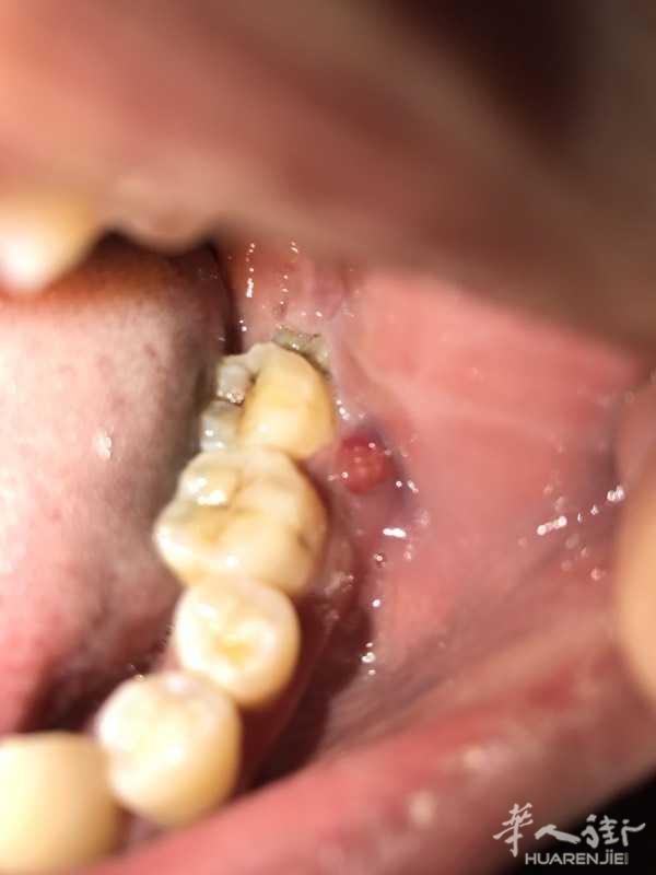
    [寻医问药] 长智齿引起嘴巴里起了个水泡,反复出脓怎么办

    [复制链接]
    发表于 2016-11-28 22:22:40 来自手机 | 显示全部楼层 |阅读模式

    马上注册,结交更多街友,享用更多功能,让你轻松玩转华人街。

    您需要 登录 才可以下载或查看,没有帐号?快速注册

    x

    长智齿引起嘴巴里起了个水泡,反复出脓怎么办

    picture.jpg



    来自: 华人街iPhone版
    回复

    使用道具 举报

     楼主| 发表于 2016-11-28 22:23:14 来自手机 | 显示全部楼层
    已经吃了一个多礼拜的消炎药不见好



    来自: 华人街iPhone版
    回复 支持 反对

    使用道具 举报

     楼主| 发表于 2016-11-28 22:23:32 来自手机 | 显示全部楼层
    急急急在线等



    来自: 华人街iPhone版
    回复 支持 反对

    使用道具 举报

     楼主| 发表于 2016-11-28 22:24:49 来自手机 | 显示全部楼层
    没人吗,,,,,



    来自: 华人街iPhone版
    回复 支持 2 反对 0

    使用道具 举报

    发表于 2016-11-28 22:35:25 来自手机 | 显示全部楼层
    这个一定要去医院看,


    来自: 华人街iPhone版
    回复 支持 反对

    使用道具 举报

     楼主| 发表于 2016-11-28 22:36:26 来自手机 | 显示全部楼层
    岁岁_qKoCT发布于36 秒前
    这个一定要去医院看,

    老外就给吃消炎药啊



    来自: 华人街iPhone版
    回复 支持 反对

    使用道具 举报

    发表于 2016-11-28 22:39:14 来自手机 | 显示全部楼层
    我都起水泡一年多了,没有办法


    来自: 华人街iPhone版
    回复 支持 反对

    使用道具 举报

     楼主| 发表于 2016-11-28 22:39:55 来自手机 | 显示全部楼层
    那山那水发布于16 秒前
    我都起水泡一年多了,没有办法

    跟我这个一样吗?有没有出脓啊


    来自: 华人街iPhone版
    回复 支持 反对

    使用道具 举报

    发表于 2016-11-28 22:49:54 来自手机 | 显示全部楼层
    赶紧看牙科,反正那个智齿牙也要拔掉的,我以前那个智齿很痛的,拔了就舒服了而且一点也不痛


    来自: 华人街iPhone版
    回复 支持 1 反对 0

    使用道具 举报

    发表于 2016-11-28 22:51:53 | 显示全部楼层
    去看牙科。。。。。。。。
    回复 支持 反对

    使用道具 举报

    发表于 2016-11-28 22:55:38 来自手机 | 显示全部楼层
    我和你一样,去老外医生那里,把上面的肉割开就好了



    来自: 华人街iPhone版
    回复 支持 反对

    使用道具 举报

    发表于 2016-11-29 08:54:04 来自手机 | 显示全部楼层
    我的以前在中国就长了 每个月都会有几次上火压根肿发炎 后来去牙科医生建议我把包住牙齿的肉割开了 牙齿长出来后来就正常了


    来自: 华人街iPhone版
    回复 支持 1 反对 0

    使用道具 举报

    发表于 2016-11-29 09:00:07 来自手机 | 显示全部楼层
    去年情况跟你一样。去老外牙科看了 把肉割开 再吃消炎药 就好了。


    来自: 华人街iPhone版
    回复 支持 1 反对 0

    使用道具 举报

     楼主| 发表于 2016-11-29 09:01:04 来自手机 | 显示全部楼层
    Qiyue0023发布于19 秒前
    去年情况跟你一样。去老外牙科看了 把肉割开 再吃消炎药 就好了。

    我就是吃消炎药没效果啊,吃了10天了,你吃了多久好的?


    来自: 华人街iPhone版
    回复 支持 反对

    使用道具 举报

    发表于 2016-11-29 09:42:06 来自手机 | 显示全部楼层
    peng_aNmEK发布于半小时前
    我就是吃消炎药没效果啊,吃了10天了,你吃了多久好的?


    要去把肉割开  不然吃再多的消炎药都没用  我大概是三个星期左右。

    picture.jpg
    我吃的是这个。


    来自: 华人街iPhone版
    回复 支持 反对

    使用道具 举报

    您需要登录后才可以回帖 登录 | 快速注册

    本版积分规则

    最新图片
    • 有需要单独走空运可以联系我哈 单价55/kg
    • 刚刚发生大事了
    • 小丧永远是小丧,没有道德底线没有教养可言
    • 失踪的中国留学生黄鹏找到了:遗体在积雪中
    • 有没有同胞认识这个人啊,说是给办residenz

    联系华人街

    法国公司:Sinocom sarl
    地址:48 Rue de Turbigo,
    75003 Paris,France
    联系电话:(0033)-(0)144610523
    意大利分公司:Sinocom Italia Srl
    地址:Via Niccolini 29,
    20154 Milano, Italia
    联系邮箱:[email protected]

    扫描苹果APP

    扫描安卓APP

    QQ|Archiver|手机版|华人街 huarenjie.com

    GMT+1, 2026-4-1 10:38 , Processed in 0.096055 second(s), Total 9, Slave 6 queries , Gzip On, MemCache On.

    管理COOKIES